Direct bonding
ダイレクトボンディング
健康な歯をほとんど削らずに
自然で美しい状態に整える

「ダイレクトボンディングとは、歯の見た目や形を整えるために行う審美治療の一つです。
歯科医師が歯の表面に「複合レジン」という樹脂素材を直接盛り付け、歯の形や色を修正します。
削る量が少なく、短期間で自然な仕上がりになるのが特徴です。
ただし、非常に繊細な技術が求められるため、仕上がりは医師の技術力に大きく左右されます。
そのため、この治療を提供できる歯科医院は限られていますが、美しさとスピードを両立できる点から人気が高まっています。
おすすめの症状例
- 前歯のすき間(すきっ歯)をきれいに整えたい方
- 前歯の小さな虫歯や黒ずみが気になる方
- 銀歯や古い詰め物を自然な白さに変えたい方
- 歯の先端のガタつきを整えたい方
- 変色したプラスチックの詰め物をきれいにしたい方
ダイレクトボンディング治療の特徴
1.
削る量は最小限
まったく削らずに治療できることも
歯に直接材料を接着させるため、削る量は最小限。場合によってはまったく削らずに治療できることもあります。 また、金属を使用しないメタルフリー治療のため、金属アレルギーの心配もありません。
2.
自然な仕上がりを
左右するのは“技術力”
ダイレクトボンディングの仕上がりは、使用する材料や術者の技術によって大きく変わります。 当院では、自然の歯に近い色・質感を再現できるハイブリッドセラミックを使用しています。 ハイブリッドセラミックとは、セラミックとレジンを混ぜた材料で、自然な透明感としなやかさが特徴です。 専門の道具も駆使し、美しい仕上がりが長続きするよう、こだわって治療を行います。 近年では材料の進歩により、前歯だけでなく奥歯にも対応できるケースが増えています。
3.
耐久性も進化
ダイレクトボンディングは歯の一部を補う治療のため、強い接着力が求められます。 近年では接着技術が進化し、詰め物の脱落リスクを低減。 削る部分もますます小さくなり、しっかりメンテナンスを行えば10年以上持つとも言われています。
4.
少ない通院回数
多くの方は1〜2回の通院で完了します。症例によっては、カウンセリング当日に治療を終えられる場合もあります。
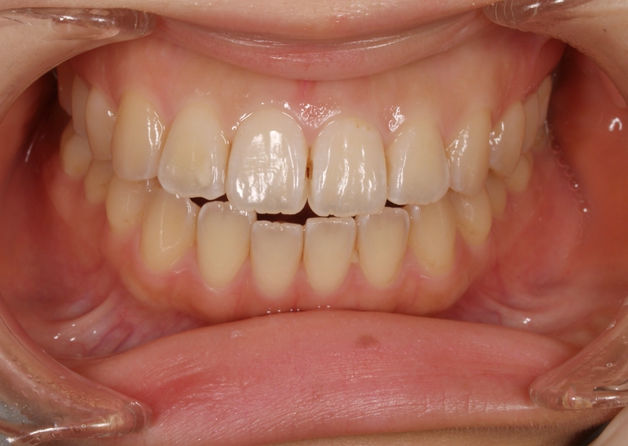
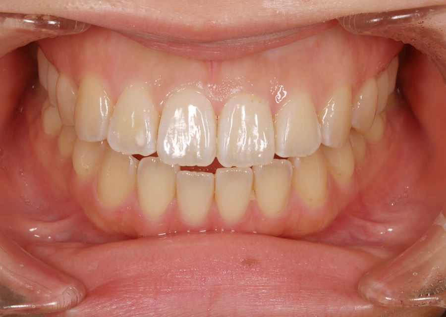
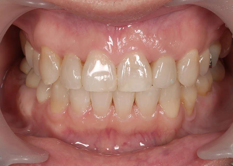
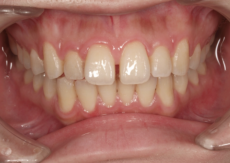
正中離開(前歯のすき間)
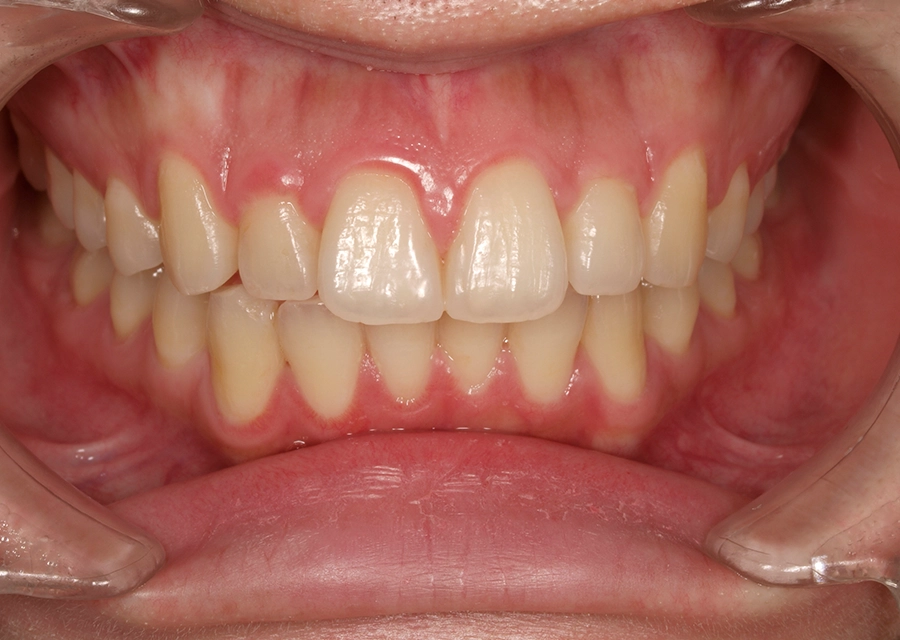
前歯の虫歯治療
前歯の再治療
ダイレクトボンディングの費用
- ダイレクトボンディング
- ¥33,000~¥88,000
自由診療(保険適用外)、物品のご購入に各種クレジットカードをご利用いただけます。
デンタルローンのご利用を希望される方は、ご相談ください。