Aesthetic Dintistry
審美歯科・セラミック治療
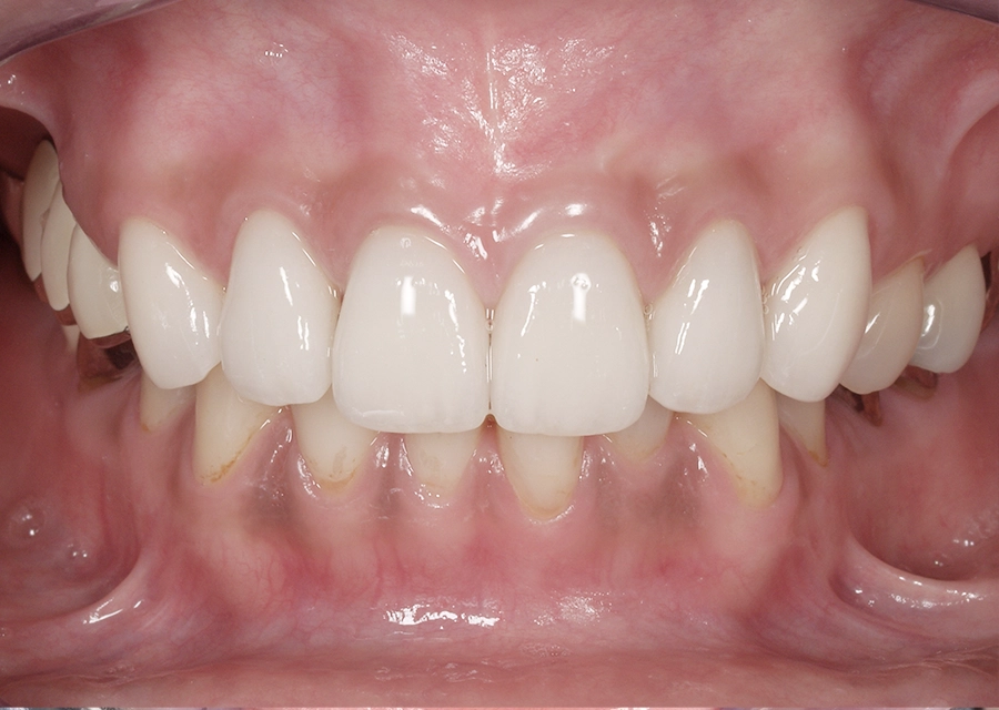
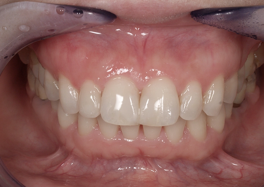
歯を白く美しく
整える治療

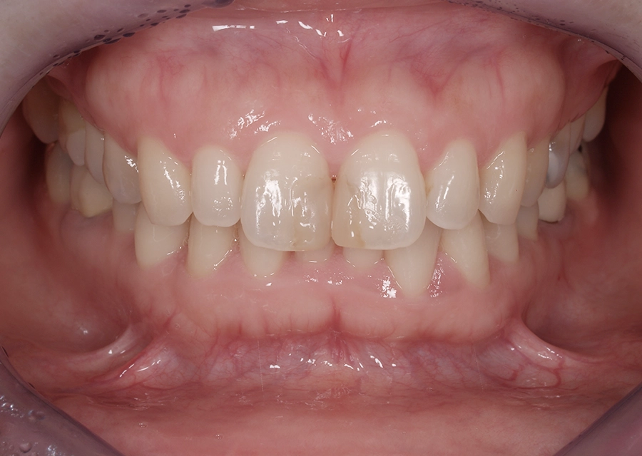
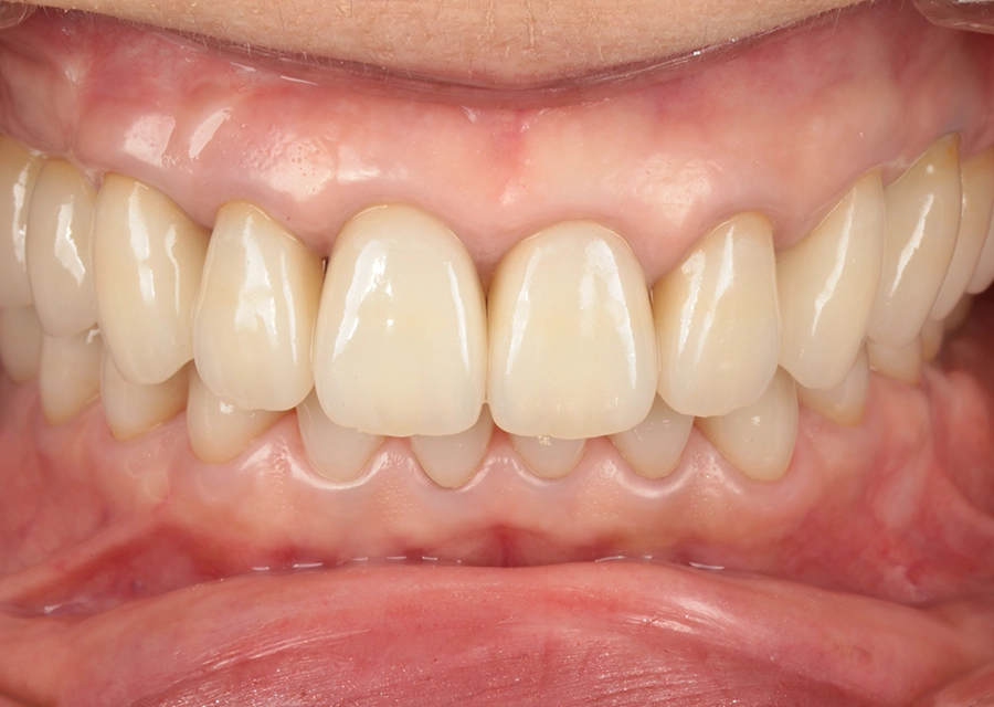
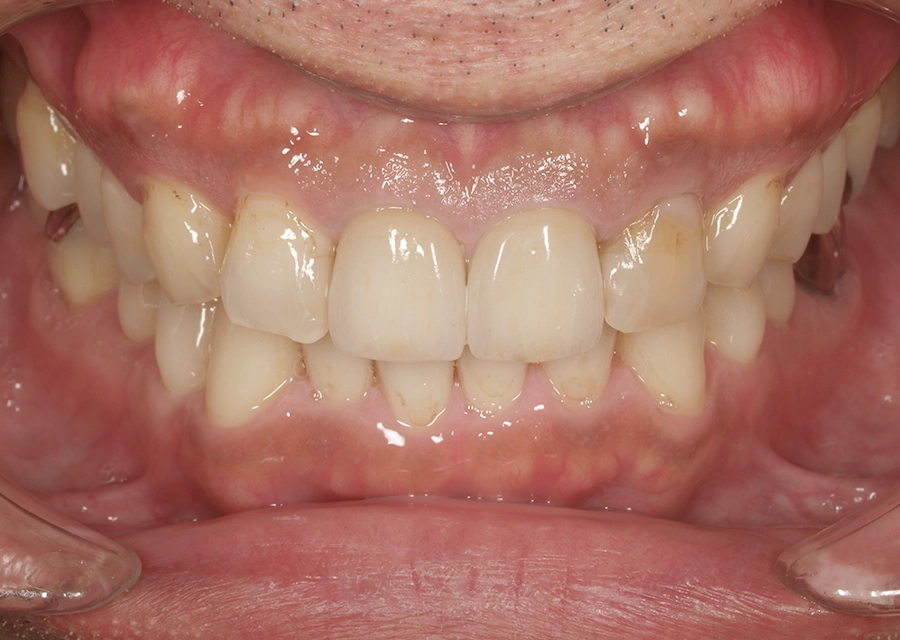
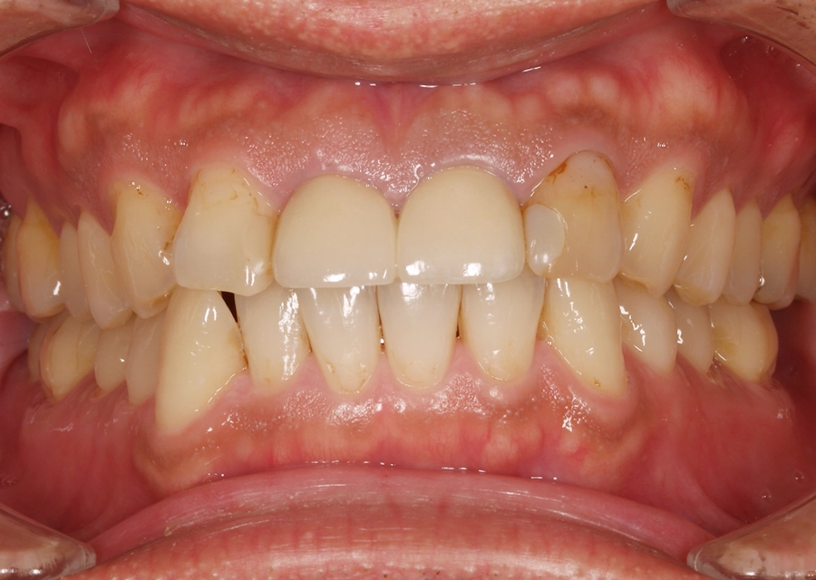
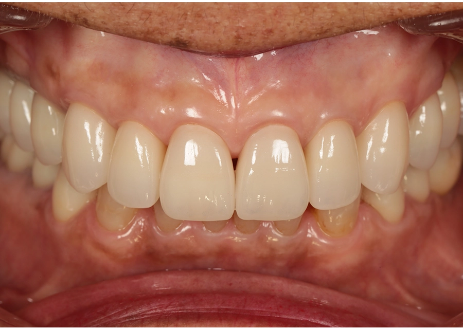
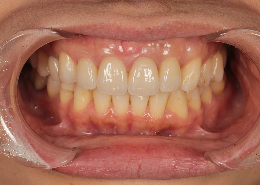
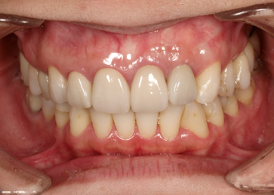
審美歯科とは、歯の見た目と機能の両方を美しく整えることを目的とした歯科治療です。
歯の色・形・歯並びを整え、自然で美しい笑顔をつくります。
当院では、単に歯を白くするだけでなく、噛み合わせやバランスにも配慮し、健康的で長く美しさを保てる口元を目指しています。
また、支台形成の講師も務めるドクターが治療を担当し、補綴物の適合性・耐久性・審美性を追求。正しい噛み合わせを再現します。
さらに、院内に歯科技工所を併設しており、歯の色味や質感を細かく確認しながら、より自然で美しい仕上がりを実現しています。
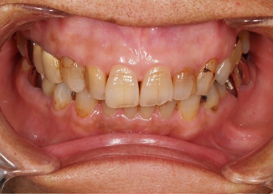
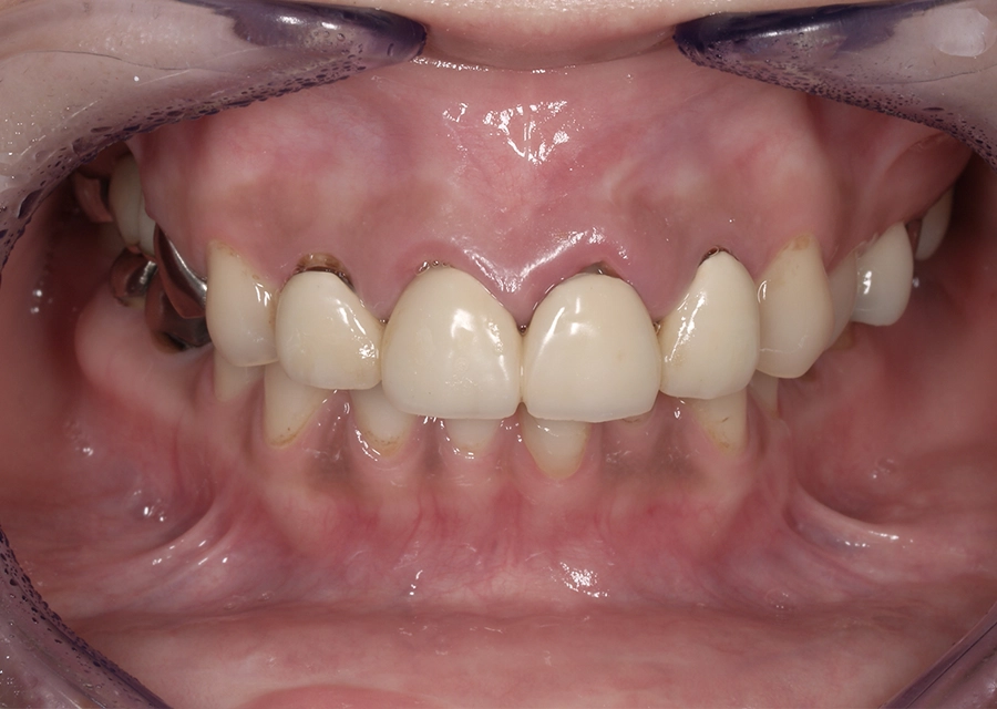
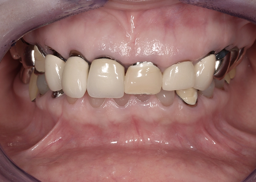
このようなお悩みはございませんか
- ・歯を白くしたい
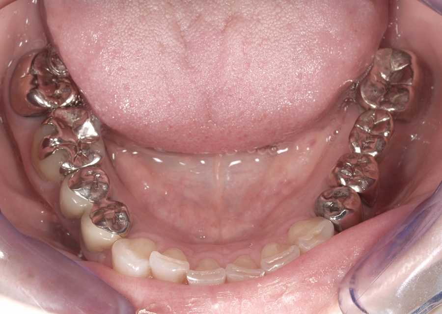
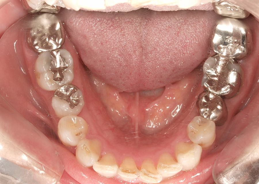
- ・銀歯を白くしたい(銀歯の見た目が気になる)
- ・歯ぐきが下がり、歯が長くなったように見える
- ・欠けた・すり減った歯を整えたい
- ・見た目を自然にきれいにしたい
- ・虫歯治療のついでに見た目もきれいにしたい
- ・療した差し歯・被せ物の色が周囲と合っていない、境目が目立つ
- ・結婚式・写真撮影・人前に出るので歯を白くしたい
審美治療の特徴
1.
ただ削るだけではない
支台形成のプロフェッショナル
支台形成には、単なる削る技術以上のものが求められます。
歯周組織への配慮、被せ物の素材特性への理解、噛み合わせや審美性を考慮した設計など、多角的な知識と繊細な技術の積み重ねが、理想的な仕上がりを生み出します。
2.
院内に技工所を併設
繊細な色味まで美しく再現
院内に歯科技工所を併設し、歯科技工士と密に連携することで、歯の色味や質感まで繊細に再現します。
患者様一人ひとりの歯の特徴に合わせて調整を行い、自然で美しい仕上がりを実現。
その場で微調整が可能なため、より高精度で満足度の高い審美修復を提供しています。
3.
お顔全体との調和を大切にした
デザイン設計
正面だけでなく横顔も確認し、歯の長さ・大きさ・形を総合的にデザインします。
たとえば丸顔の方には角ばった歯が合わないなど、顔立ちとの調和を大切にし、自然で美しい口元を目指します。
4.
フィット感・適合性と
長持ち設計
被せ物のわずかなズレも見逃さず、歯と歯茎の境界まで精密に調整。
見た目の美しさだけでなく、長期的な安定と快適な噛み心地を実現します。
顔全体のバランスから考える、審美のチェック
どのようなお悩みがあるのか、どんな口元を目指したいのかを丁寧に伺い、
お顔全体のバランスから1本1本の歯まで細かく診断します。
理想の美しさは人それぞれ異なるため、診断結果を踏まえた的確な治療計画の設計が重要です。
時には、ご自身でも気づいていない問題を見つけ出し、より自然で調和の取れた口元づくりをご提案いたします。

正面
- 左右の瞳を結んだ線(瞳孔間線)と眉、口角を結んだ線(口唇線)が並行かどうか
- 瞳孔間線の中心から垂直に引いた線(正中線)と口唇線が垂直に交わるかどうか
- 顔のパーツが対称かどうか
- 口角の上がり下がり、ほうれい線など口周りのしわの有無
- あごの張り具合
- お顔全体の筋肉のつき具合
- 唇の厚さ、形(めくれ、曲がり)
- あごの骨の形状、骨格(X線・セファロ分析)

横顔
- 鼻の先端からあごに引いた線(Eライン)と唇の位置関係
- 鼻と唇の角度(骨格を確認)
- あごが出っ張っているか、へこんでいるか
- 唇の厚さ、形(めくれ、曲がり)
- あごの骨の形状、骨格(X線・セファロ分析)
-
歯の大きさの比率
(ゴールデンプロポーション)正面から見たとき、中切歯:側切歯:犬歯の見える幅の比が1.6:1:0.6(=黄金比) に近いと、美しく調和して見えるとされています。
天然の歯で当てはまるのは全体の17%と言われております。※
大切なのは、黄金比ではなくあなたに最も調和するバランスに整えることです。
※参考:Preston JD.The golden propotion revisited.J Esthet Dent 1993;5:247-251 -
見える歯の本数
(スマイル・ウィズ)スマイル・ウィズとは、笑顔時に見える歯の本数を指します。
このバランスは審美設計において極めて重要で、口唇の動きや歯列の位置関係を分析し、自然で調和の取れた笑顔を導きます。 -
歯茎の露出量
(スマイルライン)笑ったときに見える歯と歯ぐきのバランスを「スマイルライン」と呼びます。
歯ぐきの露出が多い状態は「ガミースマイル」と呼ばれ、お悩みの方も少なくありません。ただし、まったく歯ぐきが見えないよりも、少し見えている方が自然で好印象なことが多く、お顔立ちや表情に合わせたバランス設計が大切です。 -
前歯の先端を結んだ曲線
(インサイザルカーブ)今ある歯がどのように生えているか、隣の歯との並びや傾きを確認します。
歯は必ずしも真っ直ぐではなく、わずかなカーブや角度の違いがあります。そのため、前後・左右・上下のバランスを考慮して設計しなければ自然な仕上がりにはなりません。左右対称でなくても、調和がとれていれば美しく見えることも多いのです。 -
位置関係・噛み合わせ
歯がどのように生えているか、隣の歯との並びや傾きを確認します。
歯は完全な左右対称ではなく、わずかな角度やカーブがあります。
前後・左右・上下のバランスを整えることで、自然で美しい仕上がりを目指します。 -
咬合平面と顔のバランス
咬み合わせの平面(咬合平面)が瞳を結ぶ線と平行だと、 自然で美しい口元に見えるとされています。
同時に、噛む力が一部の歯に偏らない機能的な噛み合わせも重要です。
見た目の美しさと機能性を両立させ、長く快適に保てる噛み合わせを設計します。 -
ジンバルライン
(歯ぐきのライン)ジンバルライン(Gingival Line)とは、歯ぐきの先端(歯頸線)を結んだときにできるカーブのことです。
このラインの高さ・左右対称性・カーブの形状は、審美領域設計における重要な要素です。
歯冠長やスマイルラインと調和させることで、より自然で美しい審美バランスを実現します。 -
歯ぐきの厚み・位置
歯と歯のあいだに入り込む歯ぐき(歯肉)の形は、口元の印象を大きく左右します。
日本人は歯ぐきが薄く、加齢とともに下がりやすい傾向があります。
特に「歯間乳頭」が下がるとすき間が目立ち、笑顔の印象にも影響します。
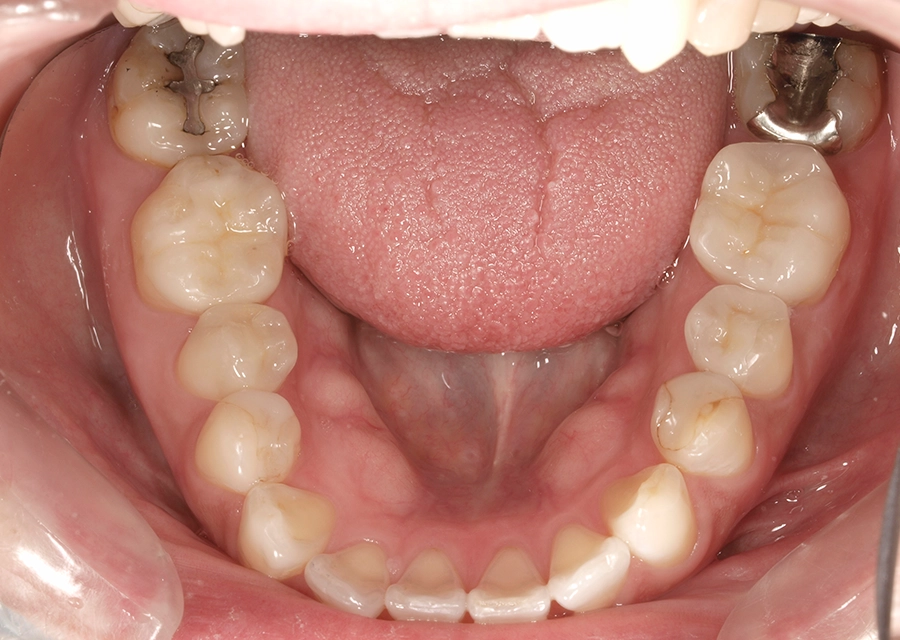
セラミック治療の種類と特徴
| 治療名 | 特徴・内容 |
|---|---|
| ラミネートベニア | 薄いセラミックの層を歯の表面に貼り、色・形を整える治療。 |
| オールセラミック | すべてセラミックで作られた被せ物・詰め物。透明感があり、自然で清潔。 |
| ハイブリッドセラミック | 金属の土台をセラミック+レジンで覆うタイプ。自然な硬さで歯に優しい。 |
| ジルコニアセラミック | 人工ダイヤモンドと呼ばれる強度の高い素材。奥歯にも適応。 |
| e-max(イーマックス) | 強化ガラスセラミック。透明感と美しさが高く、前歯に最適。 |
| ダイレクトボンディング | ハイブリッドセラミック(セラミック+レジン)を直接歯に接着する治療。最短1~2回の通院で完了。 |
オールセラミック
オールセラミック
オールセラミック
オールセラミック
クラウン
セラミックインレー
インレー
ポーセレンラミネートべニア
オールセラミック
ポーセレンラミネートベニア
審美治療の費用
- ダイレクトボンディング
- ¥33,000~88,000
- ポーセレン・ラミネートベニア
- ¥143,000~198,000
- ハイブリッドセラミックインレー・アンレー・クラウン
- ¥66,000~143,000
- セラミックインレー・アンレー・クラウン
- ¥99,000~231,000
- メタルセラミッククラウン
- ¥187,000~231,000
- PGA・ゴールドインレー、アンレー、クラウン
- ¥99,000~231,000
- ホームホワイトニング
- ¥55,000
- オフィスホワイトニング
- 1回 ¥33,00
- 歯周組織再生療法
- 1歯 ¥121,000~137,500
1歯 ¥110,000~143,000
- CT撮影、画像分析料
- 片顎¥18,700
- セファロ撮影料
- ¥8,800
- PMTCスタンダードコース
- 1回(検査込)¥16,500
- PMTCプレミアムコース
- 1回(検査込)¥27,500