Blog
削らない審美・ダイレクトボンド
2026-04-08
こんにちは!!
九段下にあります加部歯科医院の伊藤です😁
今回は、加部歯科医院でもよく行われている「ダイレクトボンド」という治療法についてお話ししたいと思います。
ダイレクトボンドとは、その名の通り、歯に直接詰め物をすることです。
詰める材料はコンポジットレジンと呼ばれるもので、用途に応じて多様な種類のレジンがあります。
ダイレクトボンドの一番の利点は、歯を削る量が最小限で済むことです。
しっかり虫歯だけを取り除けばそのまま詰めることができ、とても歯に優しい治療法になります。
また、一箇所詰める場合でも複数の色のレジンを掛け合わせ、治療後がほとんどわからないようにしたりもします。
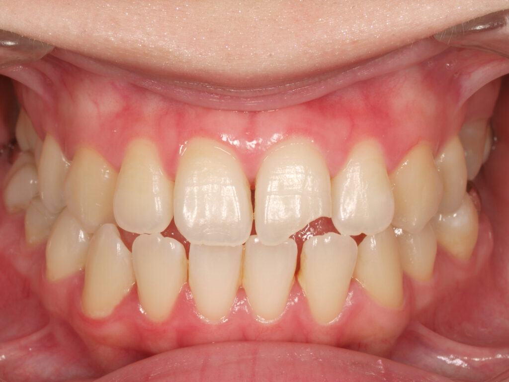
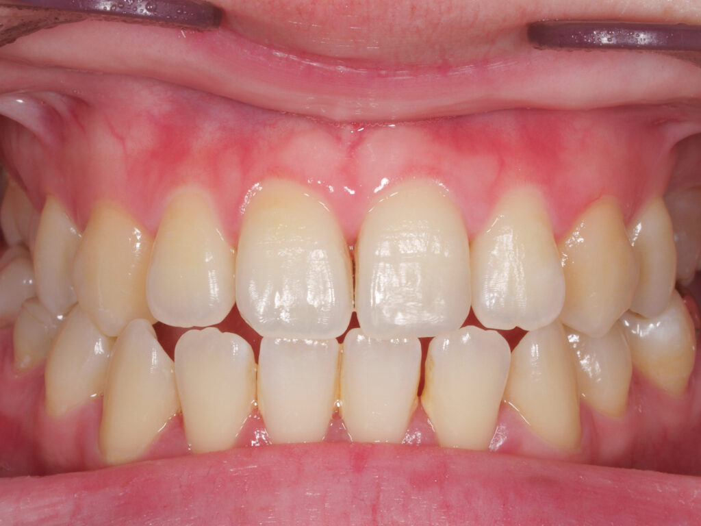
下の写真は前歯が欠けてしまった方の症例です。
虫歯ではなかったので、ほとんど歯を削ることなく治療することができました👍


治療回数は虫歯の大きさにもよりますが、1〜2回で終わることが多く、費用もセラミックに比べ、1/3〜半額くらいでできますので、興味のある方はぜひ一度ご相談ください☺️
←「心地よい空間で一品一品を…」前の記事へ