カウンセリング・診査
まずは、現在のお悩みやインプラント治療に対するご不安、ご希望などを丁寧にお伺いします。
患者様が安心して治療に臨めるよう、疑問や不安の解消を大切にしています。
そのうえで、お口の中の状態を詳しく診査します。
虫歯や歯周病の有無、噛み合わせ、筋肉・顎関節の状態などを総合的に確認し、治療の適応を慎重に判断します。
状態によっては、インプラント手術の前に虫歯や歯周病の治療を優先して行う場合もあります。

インプラント治療で多くの方が悩まれるのは、「どこで治療を受けるのが良いのか」という点ではないでしょうか。
当院は30年以上にわたり数多くの治療実績を重ね、その経験から、治療が成功する理由、あるいはうまくいかない理由についても熟知しております。
手術は笑気吸入鎮静法を用いて不安を和らげ、切開も最小限に抑えるため、術後の痛みや腫れは通常の抜歯と同程度とお考えいただけます。
さらに、当院では咬み合わせ認定医の資格を持つ医師が治療を担当いたします。
あごの機能やインプラントの特性を踏まえた精密な治療を行います。実際に、患者様のインプラントは30年以上問題なく機能しております。
「どこに相談したらよいかわからない」という方こそ、ぜひ一度当院へご相談ください。豊富な実績と確かな技術に基づき、安心して治療を受けていただけます。
1.
噛み合わせ認定医が
行うインプラント
噛み合わせ認定医がインプラント治療を行うと、単に歯を入れるだけでなく、あご全体のバランスや機能を考えた治療ができます。
2.
シミュレーションソフト
SICATを使用
CT画像をもとに、骨の状態や神経の位置を正確に確認しながら、インプラントをどの位置・角度に埋入するかを3次元的にシミュレーションできます。
3.
専門の医師と協力
静脈内鎮静法を使用
専門医と連携した「静脈内鎮静法」による無痛治療も行っています。
全身管理を行いながら進めるため、高血圧などの持病がある方にも安全に治療いただけます。
4.
院内技工所併設で
迅速かつ美しい仕上がりに
院内に技工所があり、歯科技工士と密に連携できる体制を整えています。歯の形成の際から技工士が関わることで、色や形を細かく調整し、患者様一人ひとりに合った仕上がりを実現できます。
ノーベルバイオケア社は、近代インプラントシステムのパイオニア。一番歴史の長いインプラントメーカーです。
近代インプラントの父と言われているブローネマルク教授が発見した、骨に結合する歯科用インプラントを世界で初めて製品展開しました。
製品のラインナップが幅広く、複雑なケースにも対応できます。
アメリカでトップシェアを誇るZimVie(旧Zimmer Biomet Dental)は、研究を重ねた革新的なインプラント製品を開発するメーカーです。
同社のインプラントには特殊な表面加工が施されており、骨との結合力に優れています。インプラント周囲炎のリスクが小さく、国内外から高く評価されています。
「SICAT」は、CTデータと口腔内スキャンデータを組み合わせて、患者の顎骨や歯列を3Dで正確に再現し、最適な治療プランを立てる最新ソフトウェアです。
歯科医師の経験とデジタル技術を融合させることで、安全で正確、かつ短時間な手術を実現します。シミュレーションでは、どのような位置にインプラントを埋め込むと良いか、角度や深さはどうするかなど、細かい点まで検討します。
そのデータをドイツのボンにあるメーカーに送り、データを元に作られたインプラント体を使って、シミュレーション通りの手術を行います。周りの神経や血管の位置を考慮したインプラント体を埋め込むので、出血や痛みはほとんど起きません。

加部歯科医院では、歯科技工士が常駐する院内ラボ(歯科技工所)を併設しています。
歯科技工士が直接立ち会って歯の色合わせを行うことができます。微妙な色調まで再現できるため、まるで天然の歯のように自然で美しい仕上がりを実現します。、正確で安全な手術を実現するための立体的な設計図(サージカルガイド)や、治療期間中に使用する仮歯も院内の歯科技工士が作製します。
通常、クラウンや仮歯・ガイドなどの技工物は外部の歯科技工所で作られるため、やり取りに時間がかかります。しかし、院内ラボを備える当院では、型取りから技工物の完成・装着までをスムーズに行うことができ、治療期間の短縮が可能です。
また、装着後の噛み合わせや形態の微調整にも即時対応できるため、患者様の来院回数を減らし、より快適な治療体験を提供します。

加部歯科医院では、日本歯科麻酔学会認定医・長澤郁子先生と連携し、患者様の体調や治療内容に合わせて適切な薬剤を投与します。
痛みを感じにくくするだけでなく、治療中にリラックスできるよう配慮し、不安やストレスの軽減にもつながります。
静脈内鎮静法を用いた無痛治療では、うとうとと眠っている間にインプラント手術が完了します。
麻酔をかけたことすら覚えていない方がほとんどで、「手術と聞くと身構えてしまう」「口に何か入るのが怖い」といった方にも安心して受けていただけます。
また、治療中は全身の状態をモニタリング(全身管理)しながら行うため、血圧上昇などのリスクにも十分配慮。
高血圧などの持病がある方にも、安全に治療を受けていただけます。

インプラントでつくった人工の歯には、天然歯のようなクッションや噛み合わせを感じ取るセンサーの働きがありません。
そのため、力のかかり方が強くなりやすく、日々のお手入れがとても重要になります。
お手入れが不十分だと、歯垢(プラーク)がたまりやすくなり、そこに含まれる細菌が原因で歯ぐきに炎症(歯周病)が起こります。
進行すると出血や口臭が気になるようになり、さらに悪化すると歯ぐきが痩せてインプラントを支えられなくなることもあります。
このようなインプラント周囲で起きる歯周病は、「インプラント周囲炎」と呼ばれ、天然の歯の歯周病よりも進行が早いのが特徴です。
インプラントを長持ちさせるためには、毎日の丁寧なケアと、定期的なメンテナンスが欠かせません。
まずは、現在のお悩みやインプラント治療に対するご不安、ご希望などを丁寧にお伺いします。
患者様が安心して治療に臨めるよう、疑問や不安の解消を大切にしています。
そのうえで、お口の中の状態を詳しく診査します。
虫歯や歯周病の有無、噛み合わせ、筋肉・顎関節の状態などを総合的に確認し、治療の適応を慎重に判断します。
状態によっては、インプラント手術の前に虫歯や歯周病の治療を優先して行う場合もあります。
最新鋭の歯科用CTで撮影を行い、顎の骨格や神経の位置を正確に把握します。
CTデータと口腔内スキャンデータを組み合わせることで、患者様一人ひとりの口腔内を3Dで精密に再現し、理想的なインプラントの位置・角度・深さをシミュレーションします。
これらのデータをもとに立体的な設計図(サージカルガイド)を作製し、精度の高い治療計画を立案します。
このような**シミュレーションとガイドを併用した治療法は「ガイデッドサージェリー」**と呼ばれ、手術の安全性と正確性を高めるだけでなく、手術時間の短縮にもつながり、患者様の身体的負担を軽減します。
治療計画では、インプラントの本数、使用するクラウンや土台の材質、必要に応じた追加手術なども含めてご説明いたします。
ご不明な点があれば、どのようなことでもお気軽にお尋ねください。
いよいよインプラントを埋入する手術を行います。
入院の必要はなく、当日中にご帰宅いただける日帰り手術です。
手術前にはお口全体をクリーニングし、部分麻酔または静脈内鎮静法で痛みや不安を最小限に抑えます。
滅菌された環境で歯ぐきを開き、サージカルガイドに沿って正確な角度・深さでインプラントを埋入します。
必要に応じて、成長因子やレーザーを用いた治癒促進処置を併用することもあります。
埋入後は髪の毛ほどの細い糸で丁寧に縫合し、1〜2週間後に抜糸を行います。
手術時間は本数にもよりますが、おおよそ1.5〜2時間程度です(クリーニングや麻酔を含む)。骨や粘膜の状態によっては、**骨再生誘導法(GBR)や骨移植(ソケットリフト・サイナスリフト)**を併用し、より安定したインプラント埋入を行う場合もあります。
1回目の手術後、インプラントと骨がしっかりと結合したことを確認した上で、2回目の手術を行います。
期間の目安は6〜8週間程度ですが、骨再生治療を行った場合は3〜6ヶ月ほどかかる場合もあります。
この間は月に1回程度クリーニングに通っていただき、状態を確認します。
2回目の手術も日帰りで行い、歯ぐきを開いてインプラントの頭部を出し、アバットメント(土台)を装着します。同時に、歯ぐきのラインを整えることで、清掃性と審美性を両立させます。
インプラントと歯ぐきの状態が安定したら、仮歯を装着します。
仮歯は、噛み合わせや歯ぐきの形を整える大切な役割を持ち、最終的な仕上がりを左右する重要な工程です。当院では、最終的に装着するクラウンに近い形・色の仮歯を使用します。
これにより、治療期間中も自然な見た目で過ごすことができ、機能面・審美面ともに快適な状態を保てます。
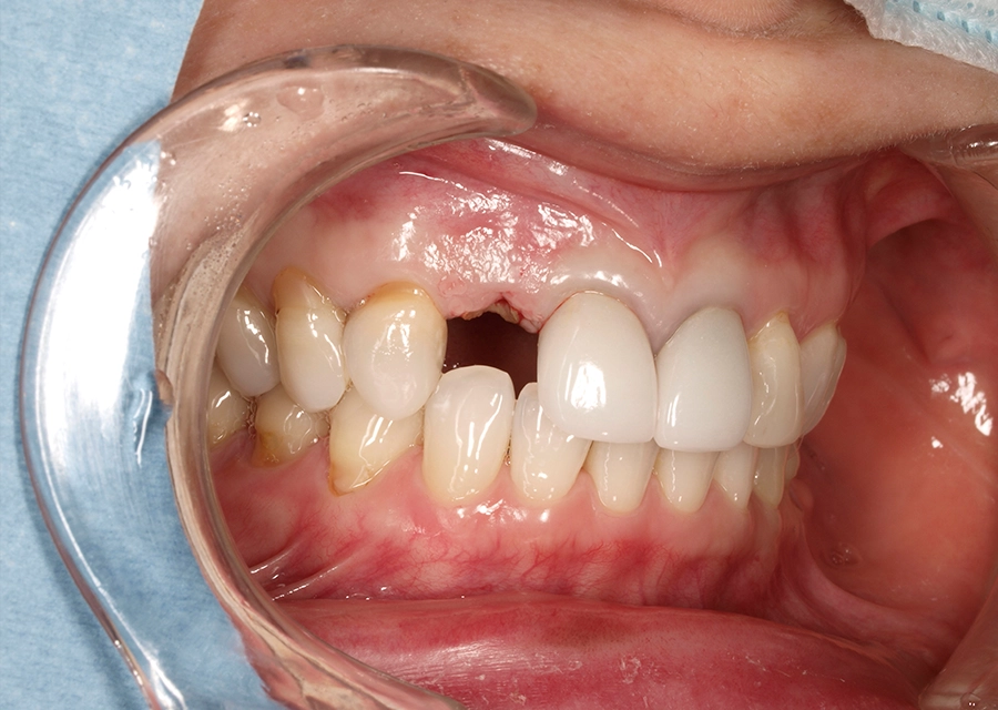
人工歯(クラウン)を作製するための型取りを行います。
当院には歯科技工士が常駐する院内ラボがあり、形や噛み合わせはもちろん、歯の色味についても直接ご相談いただけます。
その場で技工士が立ち会うことで、より自然で美しい仕上がりを実現します。
型取りから約1〜2週間後、アバットメントの上にクラウンを装着します。
噛み合わせや装着感を細かく確認し、最終調整を行ったうえで治療が完了します。
装着後には、日常でのお手入れ方法や注意点を丁寧にご説明いたします。
治療後は、3ヶ月に一度を目安に定期的なメンテナンスを行います。
医師と歯科衛生士が、インプラントや歯ぐきの状態、噛み合わせ、ホームケアの状況などを細かくチェックします。
定期的なメンテナンスを継続することで、インプラントを長期的に良好な状態で保ち、再治療のリスクを軽減することが可能です。

インプラントを固定源とし、義歯を安定させることによって、咬める義歯を装着する治療方法です。
欧米の統計ではインプラント義歯は従来の指し歯や入れ歯に比べて最も長期間使えるということが報告されています。
【費用目安】2,662,000円〜3,993,000円
【リスク・副作用】インプラント治療は外科的な手術であり、手術リスクが伴います。
手術による出血、感染症、神経や血管の損傷などが起こる可能性があります。
インプラント手術後、感染症が起こる可能性があります。適切なメンテナンスを行わないと炎症が起こるリスクがあります。感染が進行すると、インプラントを撤去する可能性があります。

自由診療(保険適用外)、物品のご購入に各種クレジットカードをご利用いただけます。
デンタルローンのご利用を希望される方は、ご相談ください。